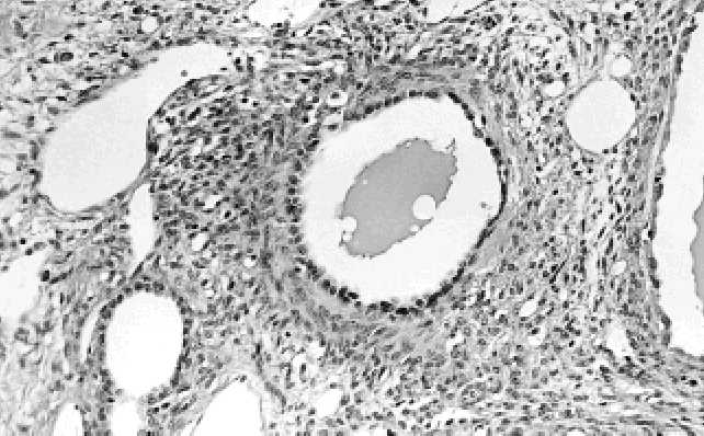
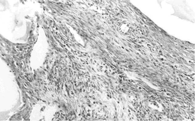
v cystickém nefromu nenachází. Cystický nefrom dětského věku bývá zpravidla bu- něčnější než cystické nefromy v dospělosti. U cystických nefromů v dospělém věku jsou někdy cysty vystlané atypickým světlobuněčným epitelem(227). Vzácně byl po- psán i vznik konvenčního světlobuněčného karcinomu v cystickém nefromu dospě- lého věku(227). V  8 publikovaných případech byla popsána malignizace cystického nefromu do nejrůznějších sarkomů. Jednalo se o nediferencovaný embryonální vře- tenobuněčný sarkom (6 případů), nízce maligní leiomyosarkom (1 případ) a  pleo- morfní vysoce maligní sarkom (1 případ)(23,300). Imunohistochemické  vyšetření.  Stroma  cystického  nefromu  reaguje  pozitivně s protilátkami proti kolagenu IV. typu, hladce svalovému aktinu a desminu. Ostatní imunohistochemické reakce nemají diagnostický význam. Elektronmikroskopické vyšetření. Epitelová v stelka cystického nefromu je vyba- vena krátkými mikrovily(92). Tang a spol. usoudili, že se tento epitel ultrastrukturálně podobá epitelu sběrných kanálků(464). Cytogenetická vyšetření. Cytogenetický profil cystického nefromu je velmi málo znám. Charles a spol. zastihli ztrátu heterozygotnosti u 6 případů cystického nefro- mu/cystického  částečně  diferencovaného  nefroblastomu  na  11p13  chromozómu, u  6 případů na 11p15 chromozómu a  u  2 případů cystického nefromu/cystického částečně diferencovaného nefroblastomu se ztráta heterogenity nacházela na obou místech chromozómů(77). Diferenciální diagnostika. Nejdůležitější je odlišit cystický nefrom od cystického, částečně diferencovaného nefroblastomu. Joshi a Beckwith odlišili tyto dvě jednotky nálezem nezralých nefroblastomových struktur jako například příčně pruhované sva- loviny a  chrupavky, které se nacházejí podle těchto autorů pouze v  částečně dife- rencovaném nefroblastomu(224). S  tímto názorem nesouhlasil Kajani a  spol., protože považovali cystický nefrom a cystický, částečně diferencovaný nefroblastom za dvě různá spektra stejného nádorového procesu, která v sebe přecházejí(227). Tato námit- ka je zcela validní u dětí, avšak neplatná u cystických nefromů dospělého věku, pro- tože  cystický,  částečně  diferencovaný  nefroblastom  se  v   dospělosti  nenachází. Nejpravděpodobnějším vysvětlením bude zřejmě to, že cystický nefrom má dvě růz- né formy. Jednak cystický nefrom dětského věku, který se nachází přibližně stejně často u  chlapců i  u  dívek s  mírnou převahou u  chlapců a  kde je součástí spektra Wilmsova tumoru společně s cystickým, částečně diferencovaným nefroblastomem. Ve shodě s  touto hypotézou je občasný nález intralobárních nefrogenních zbytků u všech těchto tumorů(128). Druhou formou je cystický nefrom dospělého věku, který se na rozdíl od juvenilní formy nachází 8krát častěji u žen. Tento cystický nefrom do- spělého věku bude nejspíše patřit do skupiny nádorů, které byly v  minulosti četný- mi autory publikovány pod nejrůznějšími názvy a které jsme shrnuli v kapitole C.5. pod názvem "smíšené benigní epiteliální a stromální nádory ledvin". Tato forma cys- tického nefromu nemá žádný vztah k  Wilmsově tumoru nebo k  nefrogenním zbyt- kům. Eble a Bonsib navrhují, aby juvenilní forma se vůbec cystickým nefromem ne- nazývala a aby se za cystický nefrom považovala pouze adultní forma cystického ne- fromu(128). Diferenciální diagnostika rozlišování adultní varianty cystického nefromu a  cystického, částečně diferencovaného nefroblastomu v  běžné praxi téměř nepři- chází v  úvahu, protože až na zcela raritní případy(354)  se cystický, částečně diferen- covaný nefroblastom v dospělosti nevyskytuje.   Dále je důležité odlišit multilokulární cystický renální karcinom od cystického ne- fromu.  I  když  se  makroskopicky  tyto  dva  tumory  mohou  podobat,  mikroskopicky jsou cysty u multilokulárního cystického konvenčního renálního karcinomu lemovány 73 72 Obr. C.4.4. V  četných místech je stroma cystických nefromů často velmi buněčné a  může věrně napodobovat ovariální stroma. Obr. C.4.5. V septech cystických nefromů se často nacházejí miniaturní cystičky a tubuly.